Borrar
PUBLIRREPORTAJE

No escondas tu preciosa sonrisa

Clínicas Sonrisalud son pioneras en ortodoncia invisible en Burgos, ya que disponen de la categoría más alta en Invisalign gracias a los numerosos casos de éxito

Miércoles, 5 de marzo 2025, 12:07

Una sonrisa bien alineada no solo tiene un impacto estético, sino que también es fundamental para nuestra salud bucal y general. A lo largo de los años, se ha demostrado que tener los dientes alineados no solo mejora nuestra apariencia, sino que previene una serie de problemas de salud futuros y aumenta nuestra autoestima.

Los dientes alineados son esenciales para una mordida correcta. Una mordida desajustada, también conocida como maloclusión, puede generar una presión excesiva sobre ciertos dientes, lo que puede llevar a dolores de cabeza, problemas en la articulación temporomandibular (ATM) y desgaste prematuro de los dientes. Además, tener los dientes desalineados puede dificultar la limpieza, ya que las piezas dentales en una posición incorrecta pueden crear zonas de difícil acceso para el cepillo, lo que aumenta el riesgo de caries y enfermedades de las encías. Por lo tanto, mantener los dientes bien alineados contribuye a una mejor salud bucal a largo plazo, evitando problemas que pueden derivar en tratamientos más complejos y costosos.

Impacto psicológico: sonrisa y autoestima

Una sonrisa bien alineada no solo tiene efectos positivos en la salud física, sino también en la salud emocional. Las personas que se sienten cómodas con su sonrisa suelen ser más seguras de sí mismas y tienen una mayor autoestima. De hecho, sonreír sin complejos puede mejorar significativamente la forma en que nos perciben los demás y la forma en que nos percibimos a nosotros mismos.

Imagen principal - No escondas tu preciosa sonrisa
Imagen secundaria 1 - No escondas tu preciosa sonrisa
Imagen secundaria 2 - No escondas tu preciosa sonrisa

Para muchos, la alineación de los dientes puede ser una fuente de inseguridad. Las personas que se sienten cohibidas por su sonrisa tienden a sonreír menos o incluso a evitar hacerlo en situaciones sociales, lo que puede generar estrés y ansiedad. Tener la confianza de sonreír abiertamente puede abrir puertas en lo personal y profesional, mejorando las relaciones interpersonales y generando una actitud más positiva frente a la vida.

Ortodoncia invisible

Con el avance de la tecnología, los tratamientos de ortodoncia han evolucionado considerablemente, y hoy en día, la ortodoncia invisible se presenta como la opción más cómoda, efectiva y estética para alinear los dientes. A diferencia de los tradicionales brackets metálicos, que son incómodos y poco discretos, los alineadores invisibles son casi imperceptibles, lo que significa que puedes alinear tus dientes sin que los demás noten que estás llevando tratamiento.

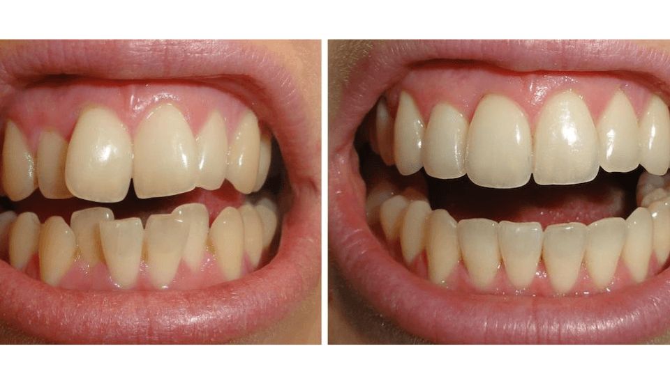
Antes y después del tratamiento Invisalign. Sonrisalud

Además de su discreción, la ortodoncia invisible ofrece una serie de beneficios prácticos. Al ser removible, te permite comer sin restricciones, lo que hace que el tratamiento sea mucho más cómodo en comparación con los brackets, que requieren cuidados específicos y restringen ciertos alimentos. También facilita la higiene dental, ya que puedes quitarte los alineadores para cepillarte los dientes y usar hilo dental con normalidad, lo que reduce el riesgo de problemas como caries y gingivitis durante el tratamiento.

Pioneros en ortodoncia invisible en Burgos

Si estás buscando el mejor tratamiento de ortodoncia invisible en Burgos, las Clínicas Sonrisalud son la opción ideal. Reconocidas por su excelencia y compromiso con la salud bucodental, las Clínicas Sonrisalud se posicionan como líderes en el tratamiento de ortodoncia invisible en Burgos ya que disponen de la categoría más alta en Invisalign gracias a los numerosos casos de éxito. Su equipo de profesionales altamente cualificados te brindará un asesoramiento personalizado, resolviendo todas tus dudas sobre plazos, precios y cuidados durante el tratamiento.

Pioneros en la implementación de ortodoncia invisible en Burgos, y su experiencia y resultados avalan su prestigio en el sector. Si estás listo para mejorar tu sonrisa y tu calidad de vida, no dudes en contactar con ellos en cualquiera de sus dos clínicas. Gracias a la ortodoncia invisible, podrás conseguir la sonrisa que siempre has deseado sin tener que preocuparte por los incómodos brackets.

Pide ya tu cita en Sonrisalud y deja de esconder tu preciosa sonrisa.

Más información

Web: www.sonrisalud.es

Dirección: Calle Alejandro Yagüe, 9, 09007 Burgos (Gamonal)

Horarios: De lunes a viernes de 10h a 14h y de 15h a 20h

Teléfono: 947210874

E-mail: atencionpaciente.bu@sonrisalud.es

Dirección: Calle Miranda 17, 09002 Burgos

Teléfono: 947266413

E-mail: atencionpaciente.cbu@sonrisalud.es

Esta funcionalidad es exclusiva para registrados.

Reporta un error en esta noticia

* Campos obligatorios

burgosconecta No escondas tu preciosa sonrisa

No escondas tu preciosa sonrisa